Dentist in Simi Valley Explains How to Enhance Your Smile with Veneers?
10-21-2025
In the past, cosmetic flaws were something to live with. If you have a tooth that stands out for all the wrong reasons, don't fall for this idea. Cosmetic dentistry services have been refined over the course of the past several decades, making it possible to correct or disguise just about any concern you can imagine. Now, there is no reason to accept imperfections such as misalignment or poorly sized teeth. You don't have to live with discoloration, damage, or any other cosmetic problem in your smile. All you need to do is consult with us and we'll make a plan to perfect your smile.
Helping our patients feel good about their smiles is something we love to do. We are proud to offer the latest smile-enhancing treatments, such as porcelain veneers. Using meticulous technique and high-quality ceramics, this process creates greater beauty without diminishing the authentic appearance of your teeth.
Why veneers?
Veneers are a great solution for a variety of aesthetic concerns. It takes a lot less time to make a turned tooth appear straight than it would take to correct the position of that rogue tooth! Veneers can reshape and resize individual teeth, and restore vibrancy to the color of the smile - in just a couple of convenient visits.
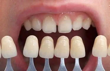
The customized shells are fabricated in a dental lab from models created in our office (impressions). In order to achieve a flush-fit against the gums, we reduce surface enamel about the thickness of a fingernail. The minor disruption to tooth structure may make teeth slightly sensitive for the week prior to placing the thin sheaths of porcelain.
During the second visit, before we bond veneers into place, we perform a thorough evaluation of their appearance on your teeth. Using temporary adhesive, we can seat your veneers so you can observe the final shape, color, and size prior to making your new smile permanent. If revisions to a veneer are necessary, this can usually be done immediately.
Advantages of veneers
One of the advantages to veneer treatment, besides a stellar smile, is that you do not need to go out of your way to maintain these beautiful jackets on your teeth. We recommend daily oral hygiene using non-abrasive toothpaste. Care should also be taken to avoid chewing or biting hard objects, as this can damage the bond between the veneer and tooth.
Learn about the various other advantages of veneer treatment when you call our Simi Valley dentist at (805) 522-0880.
