Dental Fillings - Tooth Colored Fillings

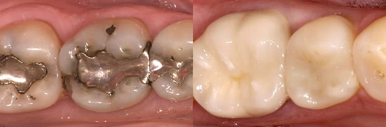
When teeth develop cavities, our Simi valley cosmetic dentist, Dr. Muradian restore them with natural-looking tooth colored filling called composite. The material and procedure is conservative alternative to the silver/mercury (amalgam) fillings.
A major advantage to the composite filling is that they contain no mercury. There is a controversy around the issue of how harmful mercury in amalgam fillings can be to the body, but rather than subject our patients to possible harm, we prefer to offer composite fillings.
Many of our patients who have old silver/mercury fillings elect to replace them with the tooth colored fillings. For further information please contact our helpful staff.

